Back to Blog Ultrasound

Why Ultrasound-Guided Injections Are the Gold Standard for Joint Pain

LSRI 12 March 2026 2 min read
Why Ultrasound-Guided Injections Are the Gold Standard for Joint Pain

✍️ Written by: LSRI Editorial Team

🩺 Medically Reviewed by: Dr Prashant Sankaye, Consultant Musculoskeletal specialist and Radiologist, MBBS, MS, FCPS, MRCS, CCBST, FRCR, PGCE(Med), FHEA, PGDip Sports and Exercise Medicine

📅 Last Updated: March 17, 2026

⏱️ Read Time: 2 Minutes

For decades, steroid and hyaluronic acid injections for joint pain were performed “blind”—meaning the doctor relied solely on anatomical landmarks (feeling the bones) to guide the needle. Today, modern medicine demands precision. Dr Prashant Sankaye, Consultant MSK Radiologist at London Sports & Rheumatology Imaging (LSRI), explains why ultrasound-guided injections are now considered the unassailable gold standard for managing musculoskeletal pain.

The Problem with “Blind” Injections

Clinical studies have consistently demonstrated that blind intra-articular (joint) injections miss the intended joint space up to 30% of the time. In complex joints like the hip or small joints of the hand, the inaccuracy rate is even higher. If the medication is deposited into the surrounding fat pad or muscle rather than the joint capsule, the patient completely misses out on the therapeutic benefits and may experience unnecessary tissue damage.

The Ultrasound Advantage with Dr Prashant Sankaye

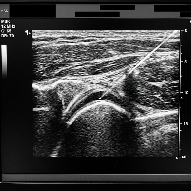
As a specialist in musculoskeletal imaging, Dr Prashant Sankaye utilises high-frequency ultrasound dynamically. This provides several crucial advantages:

  1. Millimetre Precision: The needle tip is visualised in real-time on the monitor. Dr Sankaye can navigate the needle past critical blood vessels and nerves directly into the inflamed bursa, joint space, or tendon sheath.
  2. Diagnostic Confirmation: Before injecting, the ultrasound scan confirms the diagnosis. Is there excess fluid? Is the tendon actively inflamed? This ensures the right treatment is selected.
  3. Aspiration: If a joint is heavily swollen (effusion), Dr Sankaye can safely drain (aspirate) the excess fluid under ultrasound before injecting the medication, immediately reducing pressure and pain.

Available Treatments at LSRI

With precise delivery guaranteed, we offer a range of targeted therapies at LSRI:

  • Steroids: For rapid reduction of severe acute inflammation.
  • Hyaluronic Acid (e.g., Arthrosamid or Durolane): For long-term lubrication and mechanical support in osteoarthritis.
  • PRP (Platelet-Rich Plasma): For promoting natural tendon and tissue healing.

Experience Elite Care

Don’t leave your joint pain to chance. Ensuring your injection is performed under ultrasound guidance by an expert like Dr Prashant Sankaye is the most important step toward guaranteed pain relief. Contact LSRI today.

Dr Prashant Sankaye

About the Author: Dr Prashant Sankaye, Consultant Musculoskeletal specialist and Radiologist, MBBS, MS, FCPS, MRCS, CCBST, FRCR, PGCE(Med), FHEA, PGDip Sports and Exercise Medicine

Dr Prashant Sankaye is a highly respected Consultant MSK Radiologist and the Clinical Director of London Sports & Rheumatology Imaging (LSRI). With over a decade of sub-specialty experience, he is a recognized expert in advanced diagnostic imaging (Ultrasound & 3T MRI) and precision ultrasound-guided therapeutic injections. His authoritative approach ensures patients avoid surgery where possible and receive the highest standard of orthopaedic, rheumatological, and sports medicine care.

Verified Medical Expert E-E-A-T Certified

Related Articles

Need Expert Medical Advice?

Book a consultation with our specialist team for personalised guidance on your condition.

Book Appointment
Chat with us on WhatsApp