Back to Blog Ultrasound

The Gold Standard for Pain Relief: Why You Should Always Demand Ultrasound-Guided Injections

LSRI 22 February 2026 3 min read
The Gold Standard for Pain Relief: Why You Should Always Demand Ultrasound-Guided Injections

✍️ Written by: LSRI Editorial Team

🩺 Medically Reviewed by: Dr Prashant Sankaye, Consultant Musculoskeletal specialist and Radiologist, MBBS, MS, FCPS, MRCS, CCBST, FRCR, PGCE(Med), FHEA, PGDip Sports and Exercise Medicine

📅 Last Updated: March 30, 2026

⏱️ Read Time: 3 Minutes

 

Why Precision is Non-Negotiable in Sports Medicine

If you are suffering from joint pain, chronic tendinopathy, or a sports injury, an injection is often the fastest route to recovery. But how that injection is delivered is just as important as the medication inside the syringe.

Traditionally, doctors performed injections using “surface anatomy”—feeling for the joint line or a bony landmark. This is what we call a “blind” injection. While common, modern research shows it simply isn’t accurate enough for the high-performance patient.

The Problem with “Blind” Injections

Studies consistently show that injections performed without imaging guidance miss the target space in up to 30-40% of cases.

Wasted Medication: If the steroid or lubricant isn’t in the joint space, it can’t do its job.

Tissue Damage: Accidentally injecting a tendon or a fat pad with steroid can actually cause harm.

Reduced Safety: Without a “live eye,” there is a higher risk of hitting a nerve or blood vessel.

The LSRI Difference: Visualizing Success

At London Sports & Rheumatology Imaging (LSRI), we believe in 100% accuracy. That is why every injection we perform is Ultrasound-Guided.

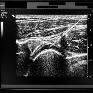
1. Real-Time Tracking

We use high-resolution ultrasound probes to “see” the needle tip as it moves through the tissue. We watch it enter the joint capsule or the tendon sheath, ensuring the medication is deposited exactly where the pathology is located.

2. Tailored Treatment Options

Because we are radiologists, we don’t just do “one type” of injection. We offer the full spectrum of modern medicine, often linking to the manufacturer’s own standards for maximum efficacy:

* **Ostenil® & Ostenil Plus**: To restore joint lubrication.

* **DUROLANE®**: For deep-acting, single-injection knee relief.

* **Arthrosamid®**: A revolutionary hydrogel for years of cushioning.

* **PRP Therapy**: Using your own growth factors for natural healing.

3. Safety & Specialist Governance

We follow the strict interventional standards set by the Royal College of Radiologists (RCR) and the British Society of Skeletal Radiologists (BSSR). This ensures that every procedure at LSRI meets the highest national requirements for clinical governance and patient safety.

We provide every patient with comprehensive aftercare instructions based on **ESSR technical guidelines**:

Rest the area for 24-48 hours.

Do not drive immediately after the procedure (due to local anaesthetic).

Monitor the site for any signs of spreading redness.

Is an Ultrasound-Guided Injection Right for You?

Guided injections are ideal for:

Frozen Shoulder: Where precision is needed for high-pressure hydrodilatation.

Tennis Elbow: To target focused areas of tendon thickening.

Hip & Knee Arthritis: To ensure the gel reaches the deep joint space.

Plantar Fasciitis: For accurate delivery to the thickened fascia.

Clinical Governance & Standards

At LSRI, we align our interventional practice with the highest international standards. The **Canadian Orthopaedic Association (COA)** position statement on intra-articular injections provides a modern framework for non-surgical joint care, which we integrate into our specialist protocols.

Specialist Patient Resources

For more information on arthritis management and joint health, explore:

* **Arthritis Foundation**: Osteoarthritis Overview

* **Mayo Clinic**: Exercise and Arthritis Pain Relief

Experience the Gold Standard

Don’t leave your recovery to chance. When booking a private injection in London, ensure it is performed by a Consultant Radiologist using live ultrasound guidance.

**Contact us today** to discuss your needs or **Book Online** to secure a priority appointment.

 

Dr Prashant Sankaye

About the Author: Dr Prashant Sankaye, Consultant Musculoskeletal specialist and Radiologist, MBBS, MS, FCPS, MRCS, CCBST, FRCR, PGCE(Med), FHEA, PGDip Sports and Exercise Medicine

Dr Prashant Sankaye is a highly respected Consultant MSK Radiologist and the Clinical Director of London Sports & Rheumatology Imaging (LSRI). With over a decade of sub-specialty experience, he is a recognized expert in advanced diagnostic imaging (Ultrasound & 3T MRI) and precision ultrasound-guided therapeutic injections. His authoritative approach ensures patients avoid surgery where possible and receive the highest standard of orthopaedic, rheumatological, and sports medicine care.

Verified Medical Expert E-E-A-T Certified

Related Articles

Need Expert Medical Advice?

Book a consultation with our specialist team for personalised guidance on your condition.

Book Appointment
Chat with us on WhatsApp